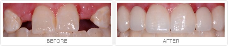
Our commitment to our patient’s has produced beautiful, healthy smiles. Please take a moment to review some of our before & after cases below. Please contact us if you have any questions.






Our commitment to our patient’s has produced beautiful, healthy smiles. Please take a moment to review some of our before & after cases below. Please contact us if you have any questions.






G.E.
David
Bill C.
Melinda B.
Lynn
Kristina
Cindy H.
Todd D.
Bill P.
Sally
Wendy R.
Cindy S.
Allan
Michael
Maggie
Edie K.
Ed
Mark
Joni A.
Roma
Mark B.
Madolyn
Janet B.
Caroline
Larry D.
Sean H.
Diane H.
Barbara G.
Katharine
Glenda C.
8181 E. Tufts Ave., Suite 550, Denver, CO 80237// 720-488-9090 // 7AM - 4PM MON-FRI


Follow Us